3D MSK VIEW

3D MSK View

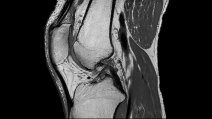
Clinical application

3D MSK VIEW

Read more

Release
<R5

Clinical Area

Msk icon

MSK

Co-Creation Facility

Q-Scan Group, Australia

Year
2014

You are about to visit a Philips global content page

Continue

Sitemiz Microsoft Edge, Google Chrome veya Firefox'un en son sürümüyle en iyi şekilde görüntülenebilir.