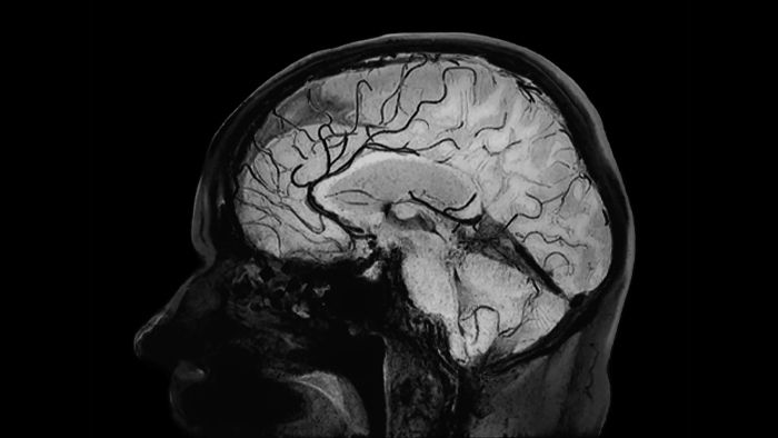
Black Blood imaging

Black blood imaging

Clinical application

Black Blood imaging

Read more

Release
R5.3

Clinical Area

Brain icon

Brain

Co-Creation Facility

University of Washington, USA
Kyushu University, Japan

Year
2017

You are about to visit a Philips global content page

Continue

Sitemiz Microsoft Edge, Google Chrome veya Firefox'un en son sürümüyle en iyi şekilde görüntülenebilir.